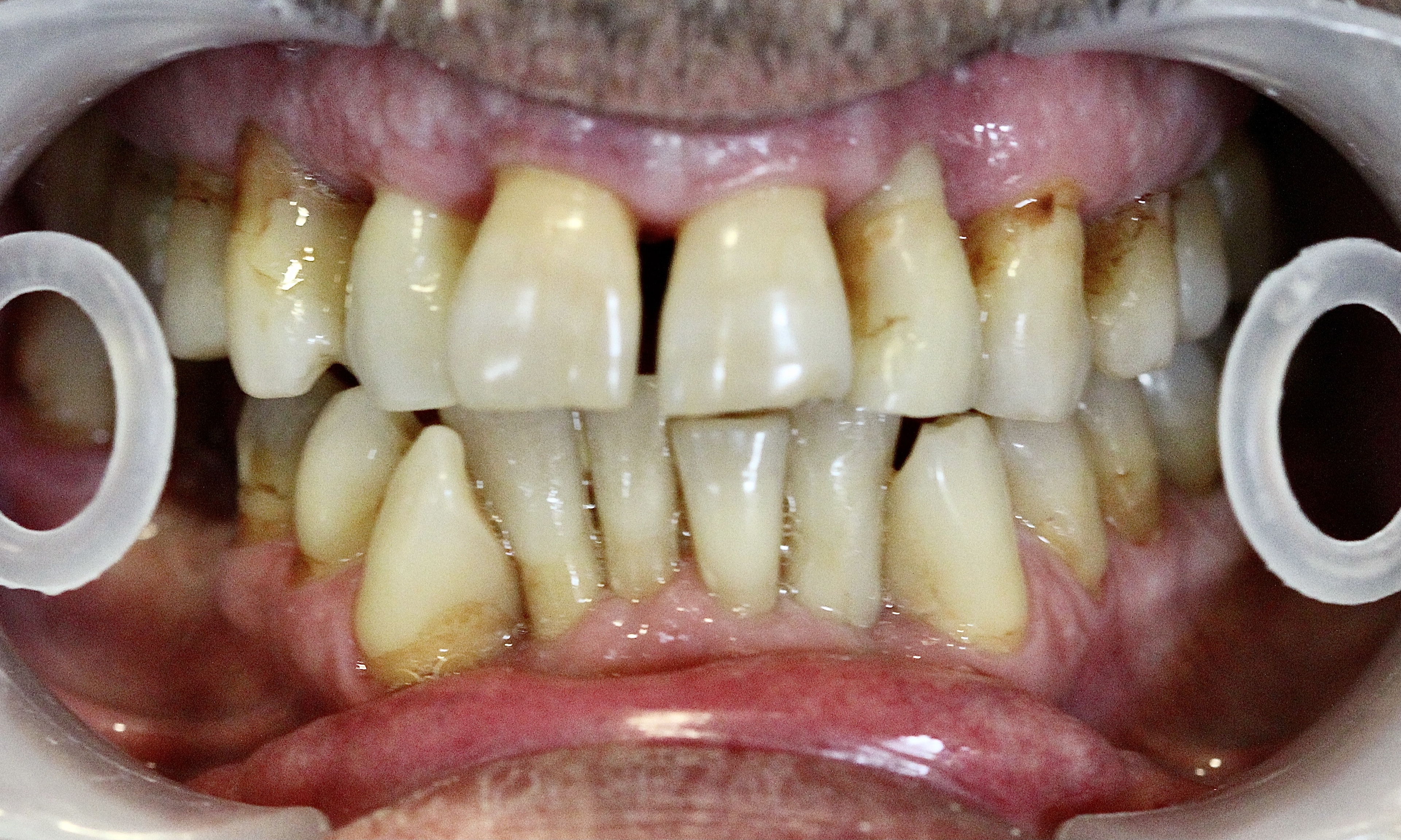
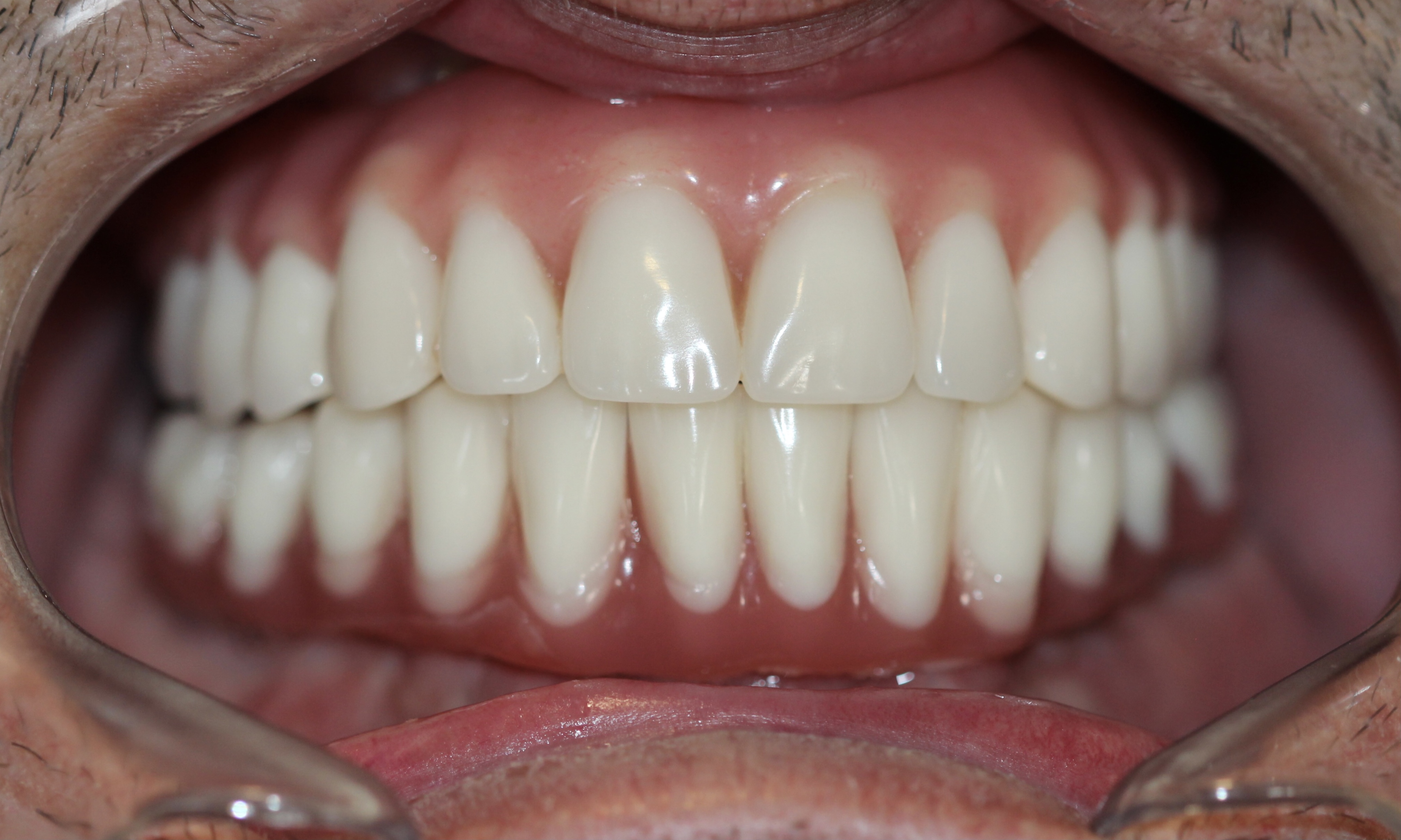
Localizada no coração da cidade do Porto, a Clínica Médica das Antas conta com mais de 25 anos de experiência e com uma equipa especializada sob a direção clínica da Drª Ana Isabel Gingeira. O seu sorriso, saúde e bem estar são, para nós, o mais importante.
Contamos com a sua visita?





A nossa clínica está localizada numa zona residencial, com fácil acesso, quer por transportes públicos quer privados, com estacionamento gratuito nas proximidades. Dispomos de 2 gabinetes clínicos, sala de radiologia, sala de esterilização e sala de espera extra confortável, com um espaço dedicado aos mais pequenos.
Colocamos à disposição dos nossos profissionais, tecnologia avançada para melhor servir os pacientes, estabelecendo assim uma relação duradoura, baseada no conhecimento científico, na confiança e na humanização.







Diretora Clínica
Ortodontia e Implantologia

Generalista

Generalista
Dentisteria Adesiva

Generalista

Endodontia

Periodontologia

Assistente Dentária

Assistente Dentária

Recepcionista

Assistente Dentária
📍 Rua Rovuma 164, Porto, Portugal